
For the most common type of Foot Arthritis (hallux rigidus), outcome data shows that HemiCAP Toe Implants are the better solution for patients looking to improve motion. The HemiCAP hemiarthroplasty toe implants have a long clinical lifespan, proven fixation and do not burn any bridges for future surgeries.
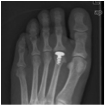
- Resurfacing of 2nd Metatarsal
- Uses include OA, AVN, Freiberg disease